Shanghai Smartee Denti-Technology Co., Ltd.
Shanghai Smartee Denti-Technology Co., Ltd.

Joignez-vous à la famille Smartee

Prêt à commencer votre propre transformation? En savoir plus sur notre processus et comment nous pouvons vous aider à atteindre le sourire que vous avez toujours voulu!

Plan de traitement de simulation 3D.
Plan de traitement de simulation 3D. Plan de traitement de simulation 3D.
Plan de traitement de simulation 3D.

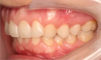
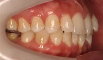
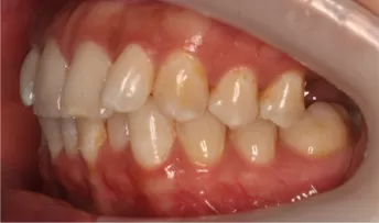
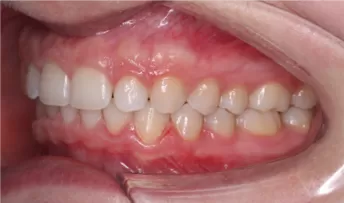
Nom:Anna

Produit:Smartee GE

Durée:7 mois

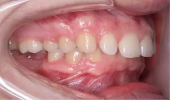
Avant
Cas 1
Cas 1
Cas 1
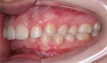
Après
Cas 1
Cas 1
Cas 1
Plan de traitement de simulation 3D.
Plan de traitement de simulation 3D. Plan de traitement de simulation 3D.
Plan de traitement de simulation 3D.

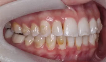
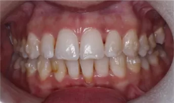
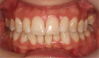
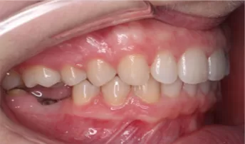
Nom:Kamila

Produit:Smartee GE

Durée:6 mois

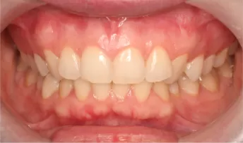
Avant
Cas 2
Cas 2
Cas 2
Après
Cas 2
Cas 2
Cas 2
Plan de traitement de simulation 3D.
Plan de traitement de simulation 3D. Plan de traitement de simulation 3D.
Plan de traitement de simulation 3D.

Nom:Elena

Produit:Smartee GS

Durée:18 moisS

Avant
Cas 3
Cas 3
Cas 3
Après
Cas 3
Cas 3
Cas 3
Shanghai Smartee Denti-Technology Co., Ltd.
This site uses cookies. Visit our cookies policy page or click the link in any footer for more information and to change your preferences.
Accept all cookies
Accept only essential cookies
X