Shanghai Smartee Denti-Technology Co., Ltd.
Shanghai Smartee Denti-Technology Co., Ltd.

Protrusion des dents antérieures

Femme, 33 ans.

Plainte en chef: Protrusion des dents de devant.

Objectif du traitement: Améliorer la protrusion.

Appareil utilisé: jour Smartee α etAligneur de dents de nuit


Étapes et durée du traitement orthodontique:

  • Étapes: 55 10 ensembles

  • Cycle: 32 mois

Avant le traitement

Photos faciales avant le traitement
Photos faciales avant le traitement
Photos faciales avant le traitement
Photos faciales avant le traitement
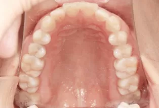
Photos intra-orales
Photos intra-orales
Photos intra-orales
Photos intra-orales
Photos intra-orales
Photos intra-orales
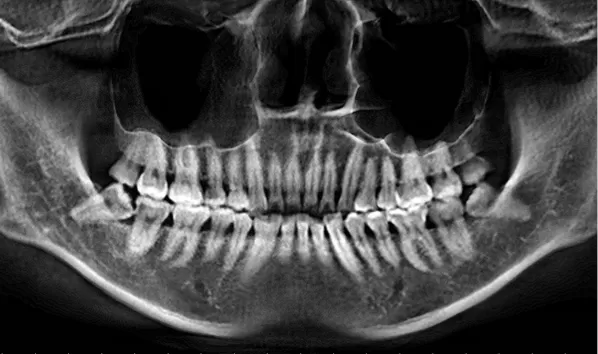
Rayons X avant le traitement

[Radiographie panoramique/Céphalogramme latéral]

Rayons X avant le traitement
Rayons X avant le traitement

Dans le traitement

Photos intra-orales
Photos intra-orales
Photos intra-orales
Photos intra-orales
Photos intra-orales
Photos intra-orales

Après traitement

Photos faciales avant le traitement
Photos faciales avant le traitement
Photos faciales avant le traitement
Photos faciales avant le traitement
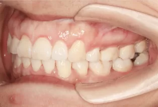
Photos intra-orales après traitement
Photos intra-orales après traitement
Photos intra-orales après traitement
Photos intra-orales après traitement
Photos intra-orales après traitement
Photos intra-orales après traitement
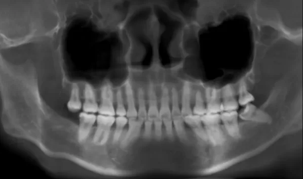
Rayons X avant le traitement

[Radiographie panoramique/Céphalogramme latéral]

Rayons X avant le traitement
Rayons X avant le traitement
Shanghai Smartee Denti-Technology Co., Ltd.
This site uses cookies. Visit our cookies policy page or click the link in any footer for more information and to change your preferences.
Accept all cookies
Accept only essential cookies
X