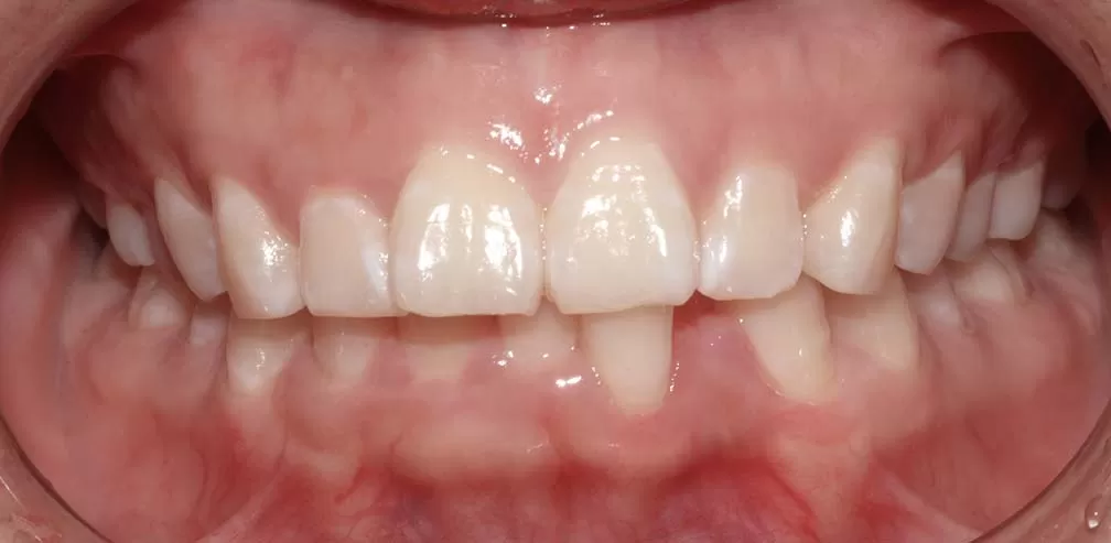
Shanghai Smartee Denti-Technology Co., Ltd.
Shanghai Smartee Denti-Technology Co., Ltd.

Galerie de cas

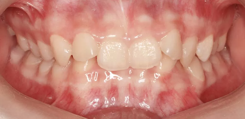
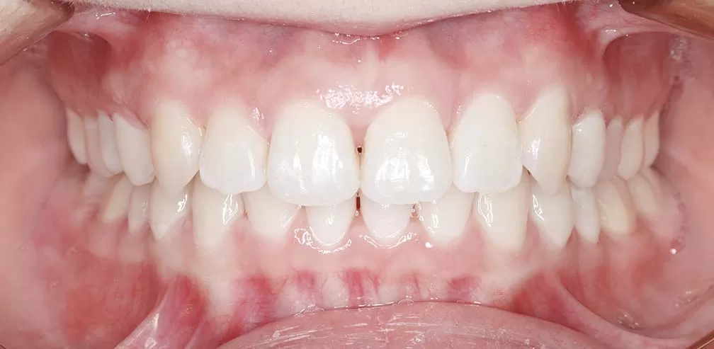
Information de base du patient et examen

Âge: 23 ans

Plainte en chef: mauvais alignement, mauvaise occlusion, sourire gommeux

Diagnostic:

  • Classification Shen Gang: Le positionnement combiné du squelette et du mandibulaire est à l'origine de la malocclusion avec le prognathisme facial (sous-type II)

  • Classification d'angle: malocclusion de classe II

Durée du traitement:

  • Repositionnement mandibulaire: 14 mois

  • Durée totale du traitement: 24 mois



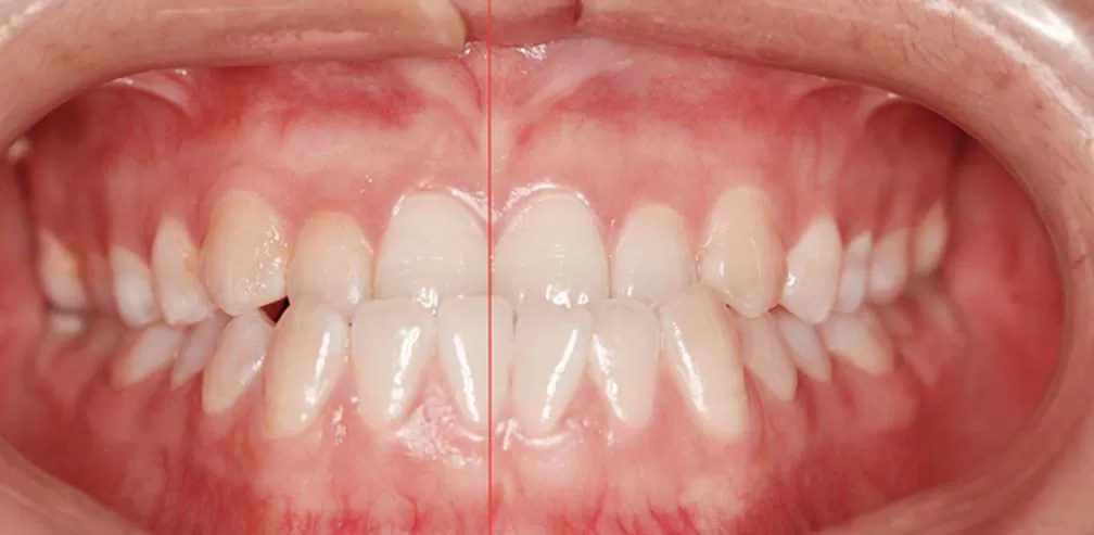
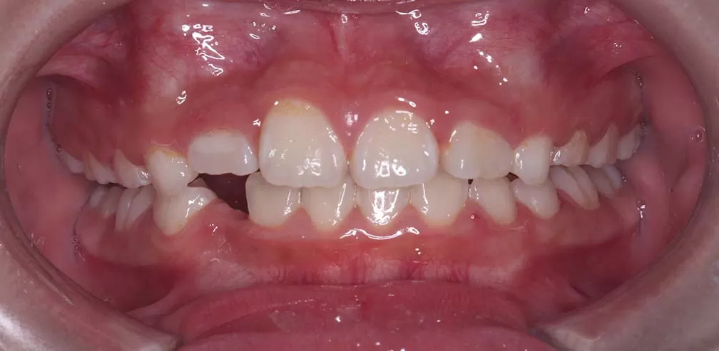
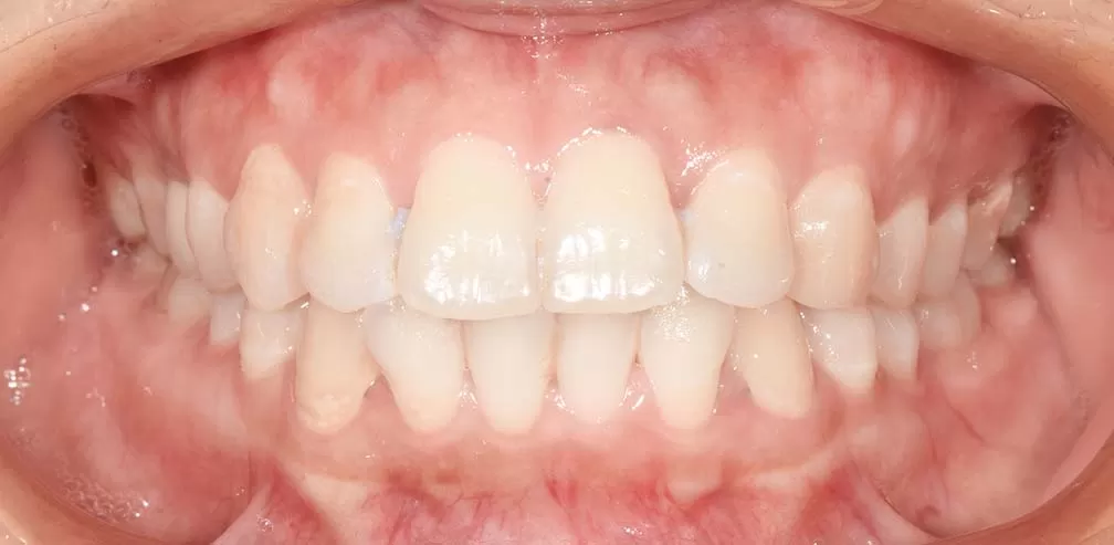
Information de base du patient et examen

Âge: 25 ans

Plainte en chef: désalignement des dents, relation molaire de classe III, menton dévié

Diagnostic:

  • Classification Shen Gang: Le positionnement mandibulaire est à l'origine de la malocclusion avec le rétrognathisme facial

  • Classification d'angle: malocclusion de classe III

Durée du traitement:

  • Repositionnement mandibulaire: 14 mois

  • Durée totale du traitement: 25 mois

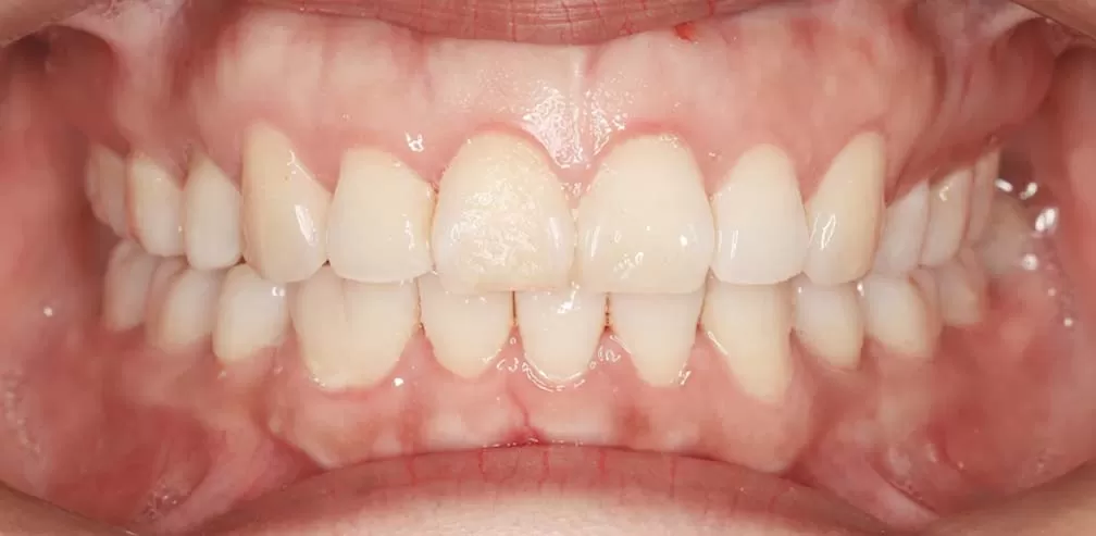
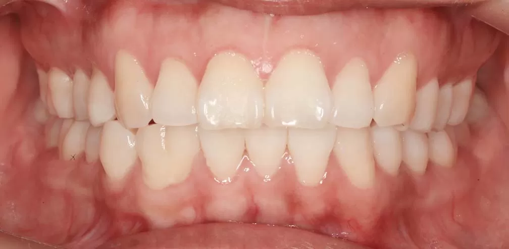
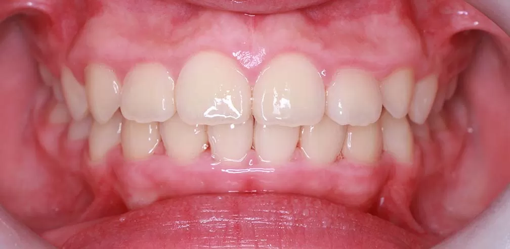
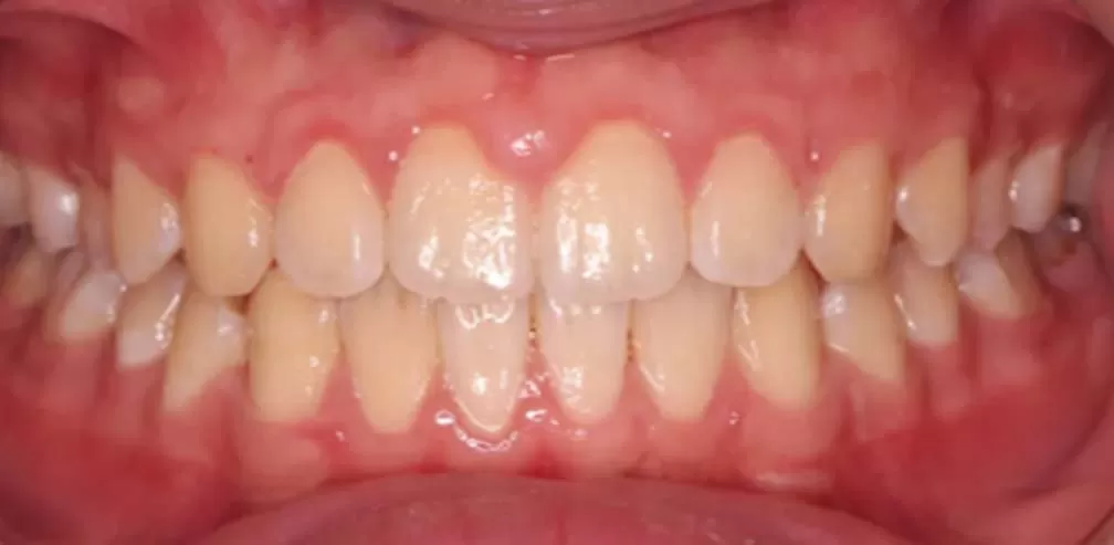
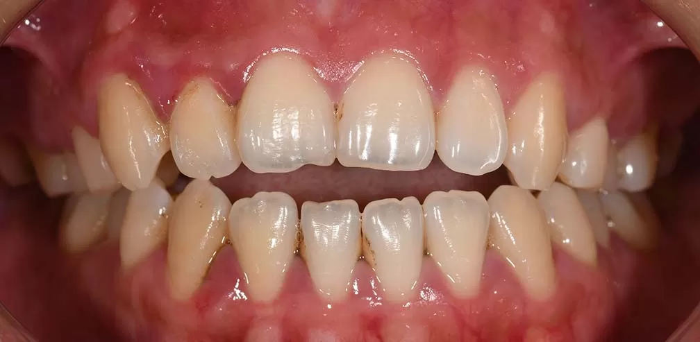
Information de base du patient et examen

Âge: 26 ans

Plainte en chef: désalignement des dents, mauvaise occlusion, menton dévié

Appareil utilisé: Smartee S8-SGHB

Diagnostic:

  • Classification Shen Gang: convexité faciale (origine squelette), déviation mandibulaire (origine articulaire)

  • Classification d'angle: Classe II

Étapes et durée du traitement:

  • Étapes: 40

  • Durée: 22 mois


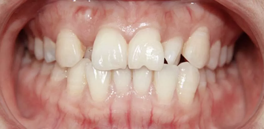
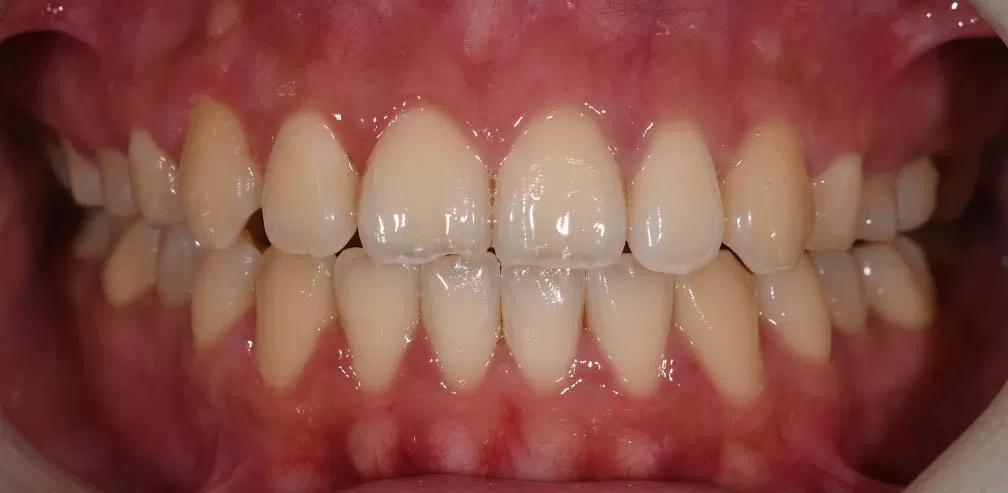
Information de base du patient et examen

Femme, 23 ans. Plainte en chef: sous-morsure

Traitement: traction avant MSE, traitement invisible Smartee, PA00


Les étapes et la durée du traitement

  • Étapes: 70 ensembles

  • Durée: 35 mois

Information de base du patient et examen

Homme, 23 ans. Plainte principale: a souffert de sous-morsure pendant plus de 10 ans.

Résultat du traitement: dents redressées, bonne occlusion, profil amélioré et sourire.


Étapes et durée du traitement:

  • Étapes: 60

  • Durée: 30 mois


Information de base du patient et examen

Femme, 25 ans. Plainte principale: dents saillantes et mal alignées, nécessitant un traitement orthodontique.

Ajustez les relations molaires gauche et droite par la distalisation simultanée des molaires supérieures et inférieures. Aligner la dentition en rétractant les dents antérieures. Avancez la mandibule pour améliorer le profil et le sourire gommeux.


Stade et durée du traitement orthodontique

  • Stade de traitement: 63 étapes

  • Durée: 31 mois


Information de base du patient et examen

Femme, 14 ans. Plainte principale: dents saillantes, menton court.

La 1/3 inférieure de son visage est courte. Un 11mm de surjet et un espace entre le maxillaire et la mandibule sont observés.

Un traitement orthodontique invisible Smartee a été adopté pour distaliser les molaires maxillaires et faire progresser la mandibule en se combinant avec la plaque de morsure, améliorant ainsi la surmorsure et le surjet.


Étapes et durée du traitement orthodontique:

  • Étapes: 41 ensembles

  • Cycle: 18 mois


Information de base du patient et examen

Femelle, âgée de 20 ans. Plainte principale: désalignement des dents, dents antérieures maxillaires encombrées.

Morsure profonde fermée des dents antérieures, encombrement modéré des dents supérieures et inférieures, profil facial général.

Un traitement orthodontique invisible Smartee a été appliqué pour distaliser les molaires maxillaires, soulager les dents encombrées, aligner les dents inférieures et corriger les surmorsures profondes.


Étapes et durée du traitement:

  • Étapes: 40

  • Durée: 18 mois

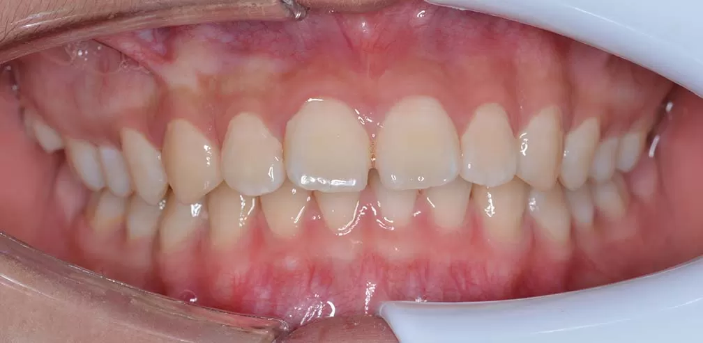
Information de base du patient et examen

Femelle, âgée de 29 ans. Plainte principale: désalignement des dents, nécessitant une correction.

Encombrement et désalignement des dents maxillaires et mandibulaires, morsure croisée des dents 12 et 22 et désalignement de la ligne médiane.

Un aligneur clair intelligent était employé. Quatre premières prémolaires maxillaires et mandibulaires ont été extraites, et une rétraction a été effectuée pour aligner les dents supérieures et inférieures, soulager la surmorsure et le surjet de la zone des dents antérieures et aligner les dents supérieures et inférieures.

Ligne médiane.


Étapes et cycle de traitement orthodontique

  • Étapes: 36 20 8 ensembles

  • Cycle: 27 mois


Information de base du patient et examen

Femme, 17 ans.

Plainte en chef: dents mal alignées.

Objectifs de traitement:

  • Alignez les dents.

  • Éliminer l'encombrement et la rotation.

  • Ajustez la surmorsure profonde.

  • Améliorer la rétrusion mandibulaire.

Appareil utilisé: jour Smartee α etAligneur de nuit.


Étapes et durée du traitement orthodontique:

  • Étapes: 40 17 ensembles

  • Cycle: 25 mois


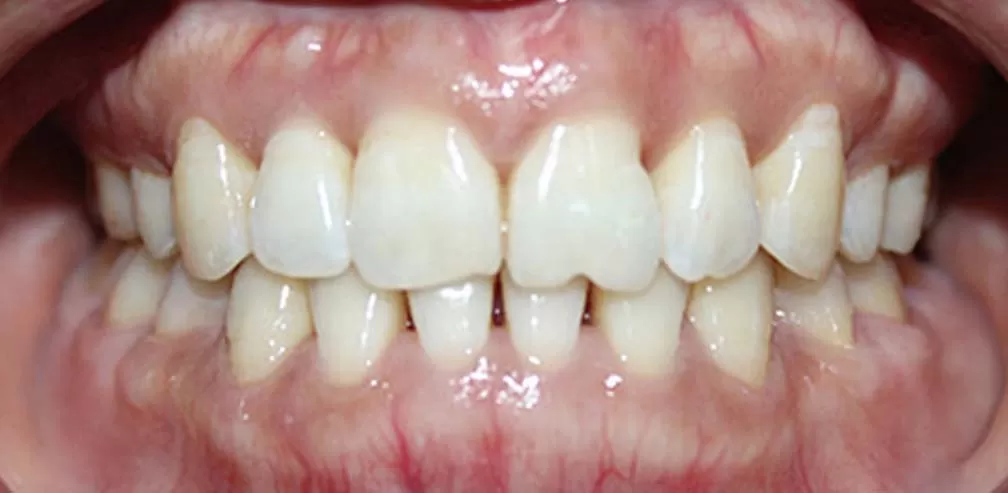
Information de base du patient et examen

Femme, 33 ans.

Plainte en chef: Protrusion des dents antérieures.

Objectif de traitement: Améliorer la protrusion antérieure.

Appareil utilisé: jour Smartee α etAligneur transparent de nuit


Étapes et durée du traitement orthodontique:

  • Étapes: 60 45 ensembles

  • Cycle: 28 mois


Information de base du patient et examen

Femme, 33 ans.

Plainte en chef: Protrusion des dents de devant.

Objectif du traitement: Améliorer la protrusion.

Appareil utilisé: jour Smartee α etAligneur de dents de nuit


Étapes et durée du traitement orthodontique:

  • Étapes: 55 10 ensembles

  • Cycle: 32 mois


Information de base du patient et examen

Overjet profond

Patient: Femme, 11 ans

Conditions: surjet profond, protrusion des dents antérieures supérieures

Dispositif de traitement: K3

Information de base du patient et examen

Overjet profond

Patient: Homme, 7 ans

Conditions: ectopie de la dent individuelle

Dispositif de traitement: K3

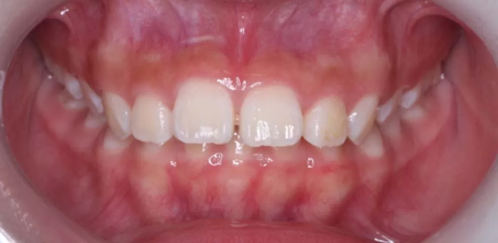
Information de base du patient et examen

Ectopie dentaire individuelle

Patient: Femme, 9 ans

Conditions: perte d'espace

Dispositif de traitement: K3

Information de base du patient et examen

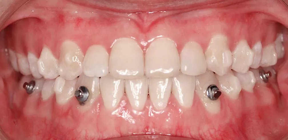
Convexité faciale-Retrusion mandibulaire

Dento-alvéolaire

Patient: Homme, 16 ans

Conditions: saillie des dents antérieures, surmorsure profonde, surjet profond, rétrusion mandibulaire

Dispositif de traitement: SGTB

Information de base du patient et examen

Convexité faciale-Retrusion mandibulaire

Dento-alvéolaire

Patient: Homme, 12 ans

Conditions: saillie des dents antérieures, surmorsure profonde, surjet profond, rétrusion mandibulaire

Dispositif de traitement: K1, SGTB

Information de base du patient et examen

Convexité faciale-Retrusion mandibulaire

Dento-alvéolaire

Patient: Femme, 12 ans

Conditions: saillie des dents antérieures, surmorsure profonde, surjet profond, rétrusion mandibulaire

Dispositif de traitement: S9, SGTB

Shanghai Smartee Denti-Technology Co., Ltd.
This site uses cookies. Visit our cookies policy page or click the link in any footer for more information and to change your preferences.
Accept all cookies
Accept only essential cookies
X