Shanghai Smartee Denti-Technology Co., Ltd.
Shanghai Smartee Denti-Technology Co., Ltd.

S8-SGTB l'avancement mandibulaire

Positionnement combiné squelettique et mandibulaire est à l'origine de la malocclusion avec le prognathisme facial (sous-type II)


Âge23
Plainte en chefMauvais alignement, mauvaise occlusion, sourire gommeux
Diagnostic

Classification Shen Gang: Le positionnement combiné du squelette et du mandibulaire est à l'origine de la malocclusion avec le prognathisme facial (sous-type II

Classification d'angle: malocclusion de classe II

Durée du traitement

Repositionnement mandibulaire: 14 mois

Durée totale du traitement: 24 mois


Avant le traitement

Photos faciales avant le traitement
Photos faciales avant le traitement
Photos faciales avant le traitement
Photos faciales avant le traitement
Photos faciales avant le traitement
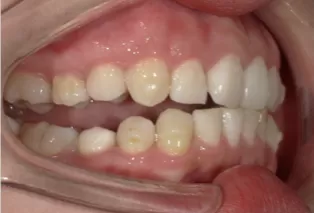
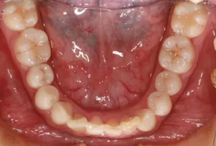
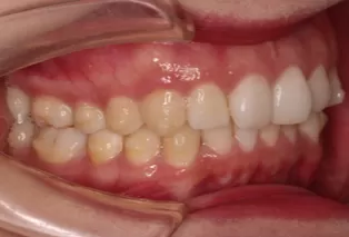
Photos intra-orales
Photos intra-orales
Photos intra-orales
Photos intra-orales
Photos intra-orales
Photos intra-orales
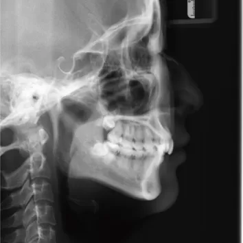
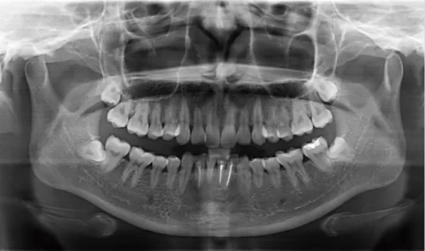
Rayons X avant le traitement

[Radiographie panoramique/Céphalogramme latéral]

Rayons X avant le traitement
Rayons X avant le traitement

Dans le traitement

Photos intra-orales
Photos intra-orales
Photos intra-orales
Photos intra-orales
Photos intra-orales
Photos intra-orales

Après traitement

Photos faciales avant le traitement
Photos faciales avant le traitement
Photos faciales avant le traitement
Photos faciales avant le traitement
Photos faciales avant le traitement
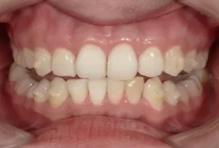
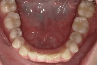
Photos intra-orales après traitement
Photos intra-orales après traitement
Photos intra-orales après traitement
Photos intra-orales après traitement
Photos intra-orales après traitement
Photos intra-orales après traitement
Rayons X avant le traitement

[Radiographie panoramique/Céphalogramme latéral]

Rayons X avant le traitement
Rayons X avant le traitement

Résumé du médecin

1. Le patient a une malocclusion d'origine du positionnement squelettique et mandibulaire combinée avec prognathisme facial (sous-type II), accompagnée d'une rétraction mandibulaire et d'une surmorsure profonde antérieure. La difficulté du traitement réside dans la façon d'améliorer la rétraction mandibulaire et le surjet profond des dents antérieures. Le traitement orthodontique invisible traditionnel se concentre principalement sur l'intrusion des dents antérieures pour améliorer le surjet antérieur et ajuste la position sagittale de l'arc inférieur par une traction de classe II de certaines manières en même temps et améliorer la classe II relation molaire. Il s'agit d'un traitement orthodontique relativement inefficace et une traction prolongée de classe II peut avoir des effets défavorables sur le parodontal des dents antérieures inférieures et des articulations temporo-mandibulaires.

2. Appliquer Smartee GSRepositionnement mandibulaireTechnologie (S8-SGTB) pour faire avancer la mandibule vers une position normale, ce qui peut non seulement améliorer le profil facial latéral, mais également guider les condyles qui sont en position de recul vers une position appropriée et stimuler le remodelage condylien. La position de la mandibule et du condylien sera stabilisée pendant 10 à 12 mois d'avancement mandibulaire et en pénétrant simultanément les dents antérieures pendant l'avancement. Cela améliore non seulement efficacement la surpiqûre profonde des dents antérieures, mais améliore également la stabilité des résultats du traitement et réduit la difficulté et le temps du contact occlusal des molaires dans la deuxième phase.

3. Une petite quantité de proclinaison supplémentaire des dents antérieures inférieures affecte dans une certaine mesure les résultats de l'avancement mandibulaire. Un meilleur résultat de traitement sera obtenu si la proclinaison des dents antérieures inférieures est contrôlée avec des TAD ou un pare-chocs pour les lèvres.


Un merci spécial au Dr Dai Zheng pour avoir fourni le contenu ci-dessus

Shanghai Smartee Denti-Technology Co., Ltd.
This site uses cookies. Visit our cookies policy page or click the link in any footer for more information and to change your preferences.
Accept all cookies
Accept only essential cookies
X