Shanghai Smartee Denti-Technology Co., Ltd.
Shanghai Smartee Denti-Technology Co., Ltd.

Smartee Teen-Convexité faciale-Rétrusion mandibulaire, mâle de 12 ans

Convexité faciale-Retrusion mandibulaire

Dento-alvéolaire

Patient: Homme, 12 ans

Conditions: saillie des dents antérieures, surmorsure profonde, surjet profond, rétrusion mandibulaire

Dispositif de traitement: K1, SGTB


Avant le traitement

Photos faciales avant le traitement
Photos faciales avant le traitement
Photos faciales avant le traitement
Photos faciales avant le traitement
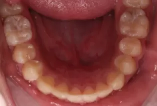
Photos intra-orales
Photos intra-orales
Photos intra-orales
Photos intra-orales
Photos intra-orales
Photos intra-orales
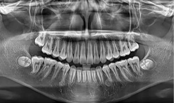
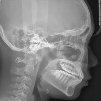
Rayons X avant le traitement

[Radiographie panoramique/Céphalogramme latéral]

Rayons X avant le traitement
Rayons X avant le traitement

Après traitement

Photos faciales avant le traitement
Photos faciales avant le traitement
Photos faciales avant le traitement
Photos faciales avant le traitement
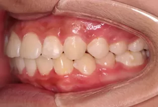
Photos intra-orales après traitement
Photos intra-orales après traitement
Photos intra-orales après traitement
Photos intra-orales après traitement
Photos intra-orales après traitement
Photos intra-orales après traitement
Rayons X avant le traitement

[Radiographie panoramique/Céphalogramme latéral]

Rayons X avant le traitement
Rayons X avant le traitement
Shanghai Smartee Denti-Technology Co., Ltd.
This site uses cookies. Visit our cookies policy page or click the link in any footer for more information and to change your preferences.
Accept all cookies
Accept only essential cookies
X