Shanghai Smartee Denti-Technology Co., Ltd.
Shanghai Smartee Denti-Technology Co., Ltd.

S10 Corriger la crosse antérieure

Le positionnement mandibulaire est à l'origine de la malocclusion avec rétrognathisme facial


Âge25
Plainte en chefMauvais alignement des dents, relation molaire de classe III, menton dévié
Diagnostic
  • Classification Shen Gang: Le positionnement mandibulaire est à l'origine de la malocclusion avec le rétrognathisme facial

  • Classification d'angle: malocclusion de classe III

Durée du traitement
  • Repositionnement mandibulaire: 14 mois

  • Durée totale du traitement: 25 mois



Avant le traitement

Photos faciales avant le traitement
Photos faciales avant le traitement
Photos faciales avant le traitement
Photos faciales avant le traitement
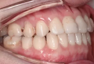
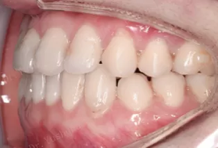
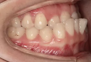
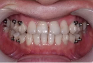
Photos intra-orales
Photos intra-orales
Photos intra-orales
Photos intra-orales
Photos intra-orales
Photos intra-orales
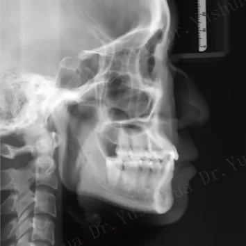
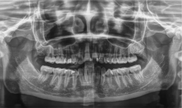
Rayons X avant le traitement

[Radiographie panoramique/Céphalogramme latéral]

Rayons X avant le traitement
Rayons X avant le traitement

Dans le traitement

Photos intra-orales
Photos intra-orales
Photos intra-orales
Photos intra-orales
Photos intra-orales
Photos intra-orales

Après traitement

Photos faciales avant le traitement
Photos faciales avant le traitement
Photos faciales avant le traitement
Photos faciales avant le traitement
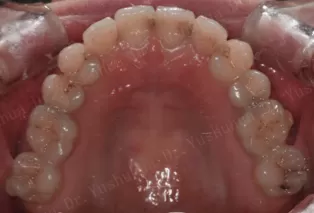
Photos intra-orales après traitement
Photos intra-orales après traitement
Photos intra-orales après traitement
Photos intra-orales après traitement
Photos intra-orales après traitement
Photos intra-orales après traitement
Rayons X avant le traitement

[Radiographie panoramique/Céphalogramme latéral]

Rayons X avant le traitement
Rayons X avant le traitement

Résumé du médecin

1. Grâce à la technologie de repositionnement mandibulaire Smartee: la mandibule est forcée de se retirer bord à bord, en utilisant un dispositif anatomique postérieur maxillaire avec des attelles occlusales pour verrouiller la position occlusale supérieure et inférieure.

2. PendantRepositionnement mandibulaire, Alignez les dents, nivelez la courbe de Spee et l'occlusion serrée.

3. Deux canines maxillaires manquaient congénitalement, 3 ont été remplacées par 4 et la relation occlusale a été ajustée de la relation de classe I à la relation de classe II complète.

4. Phase I pour corriger la corssbite et la phase II pour corriger la déviation mandibulaire.



Un merci spécial au Dr Yu Shuhua pour avoir fourni le contenu ci-dessus

Shanghai Smartee Denti-Technology Co., Ltd.
This site uses cookies. Visit our cookies policy page or click the link in any footer for more information and to change your preferences.
Accept all cookies
Accept only essential cookies
X