Shanghai Smartee Denti-Technology Co., Ltd.
Shanghai Smartee Denti-Technology Co., Ltd.

S8-SGHB l'ouverture antérieure correcte

Morsure ouverte antérieure et déviation mandibulaire causée par une résorption asymétrique condylaire


Âge26
Plainte en chefInalignement des dents, mauvaise occlusion, menton dévié
Appareil utiliséSmartee S8-SGHB
Diagnostic
  • Classification Shen Gang: convexité faciale (origine squelette), déviation mandibulaire (origine articulaire)

  • Classification d'angle: Classe II

Étapes et durée du traitement


Avant le traitement

Photos faciales avant le traitement
Photos faciales avant le traitement
Photos faciales avant le traitement
Photos faciales avant le traitement
Photos faciales avant le traitement
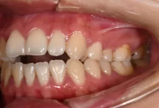
Photos intra-orales
Photos intra-orales
Photos intra-orales
Photos intra-orales
Photos intra-orales
Photos intra-orales
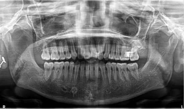
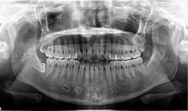
Rayons X avant le traitement

[Radiographie panoramique/Céphalogramme latéral]

Rayons X avant le traitement
Rayons X avant le traitement

Dans le traitement

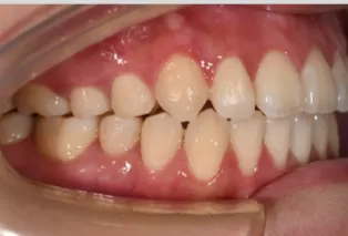
Photos intra-orales
Photos intra-orales
Photos intra-orales
Photos intra-orales
Photos intra-orales
Photos intra-orales

Après traitement

Photos faciales avant le traitement
Photos faciales avant le traitement
Photos faciales avant le traitement
Photos faciales avant le traitement
Photos faciales avant le traitement
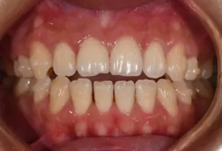
Photos intra-orales après traitement
Photos intra-orales après traitement
Photos intra-orales après traitement
Photos intra-orales après traitement
Photos intra-orales après traitement
Photos intra-orales après traitement
Rayons X après traitement

[Radiographie panoramique/Céphalogramme latéral]

Rayons X après traitement
Rayons X après traitement
Shanghai Smartee Denti-Technology Co., Ltd.
This site uses cookies. Visit our cookies policy page or click the link in any footer for more information and to change your preferences.
Accept all cookies
Accept only essential cookies
X