Shanghai Smartee Denti-Technology Co., Ltd.
Shanghai Smartee Denti-Technology Co., Ltd.

Distalisation molaire de la bouée profonde

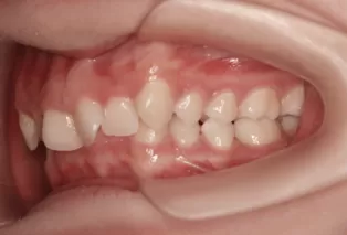
Femelle, âgée de 20 ans. Plainte principale: désalignement des dents, dents antérieures maxillaires encombrées.

Morsure profonde fermée des dents antérieures, encombrement modéré des dents supérieures et inférieures, profil facial général.

Un traitement orthodontique invisible Smartee a été appliqué pour distaliser les molaires maxillaires, soulager les dents encombrées, aligner les dents inférieures et corriger les surmorsures profondes.


Étapes et durée du traitement:

  • Étapes: 40

  • Durée: 18 mois

Avant le traitement

Photos faciales avant le traitement
Photos faciales avant le traitement
Photos faciales avant le traitement
Photos faciales avant le traitement
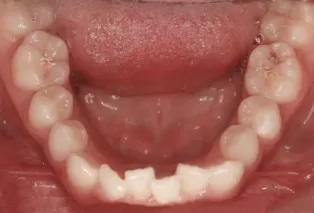
Photos intra-orales
Photos intra-orales
Photos intra-orales
Photos intra-orales
Photos intra-orales
Photos intra-orales
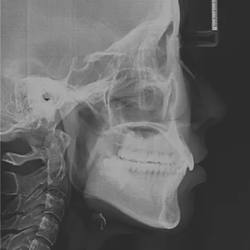
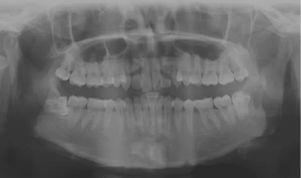
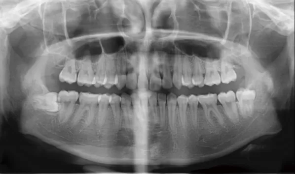
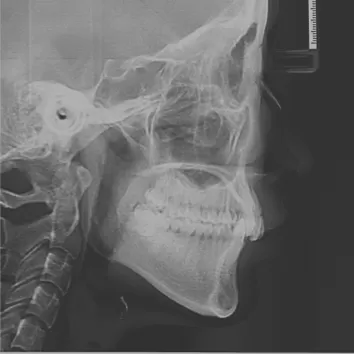
Rayons X avant le traitement

[Radiographie panoramique/Céphalogramme latéral]

Rayons X avant le traitement
Rayons X avant le traitement

Dans le traitement

Photos intra-orales
Photos intra-orales
Photos intra-orales
Photos intra-orales
Photos intra-orales
Photos intra-orales

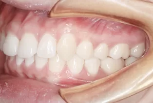
Après traitement

Photos faciales avant le traitement
Photos faciales avant le traitement
Photos faciales avant le traitement
Photos faciales avant le traitement
Photos intra-orales après traitement
Photos intra-orales après traitement
Photos intra-orales après traitement
Photos intra-orales après traitement
Photos intra-orales après traitement
Photos intra-orales après traitement
Rayons X avant le traitement

[Radiographie panoramique/Céphalogramme latéral]

Rayons X avant le traitement
Rayons X avant le traitement

Comment choisir une entreprise d'alignement de dents fiable

L'industrie des aligneurs de produits clairs s'est développée rapidement, offrant aux orthodontistes et aux marques alignées de nombreuses options pour l'externalisation de la production. La sélection du bon fabricant est essentielle: elle a un impact direct sur la qualité du traitement, la réputation de la marque et la satisfaction des patients. Voici ce qu'il faut considérer lors de l'évaluation des entreprises d'alignement de dents:


1. Expertise de fabrication et contrôle de qualité

Une entreprise d'alignement de dents avec une production interne assure un contrôle de qualité plus strict et une adaptation plus rapide aux progrès tels que l'impression 3D de haute précision. Renseignez-vous sur leurs matériaux, les taux de défauts et les processus d'assurance qualité pour confirmer la cohérence.


2. Qualité matérielle et technologie

Les plastiques de qualité médicale avec des options d'épaisseur réglables améliorent le confort et la précision du traitement. Vérifiez si le fabricant utilise des matériaux approuvés par la FDA et intègre les dernières technologies orthodontiques numériques pour des résultats supérieurs.


3. réputation et expérience de l'industrie

Vérifiez les avis, les études de cas et les partenariats avec des professionnels dentaires. Une entreprise d'aligneur de dents avec une expérience éprouvée dans la fabrication orthodontique est plus susceptible de fournir des aligneurs et un support fiables.


4. Personnalisation et support de marque

Recherchez des options telles que l'emballage de marque, la numérotation de la scène et le marquage du logo sur les aligneurs. Les commandes flexibles en petits lots permettent une production évolutive sans compromettre la qualité.


5. Transparence des prix et services de soutien

Évitez les fournisseurs irréalistes à faible coût-privilégiez la transparence et les options de financement. Un service à la clientèle réactif, des programmes de formation et des investissements en R & D indiquent un engagement envers des partenariats à long terme.


6. Recherche et innovation

Entreprises d'alignement de dentsInvestir dans la R & D s'adapter plus rapidement aux tendances de l'industrie, améliorant la précision du traitement. Renseignez-vous sur les récentes mises à niveau technologiques de leurs conceptions d'alignement.


Shanghai Smartee Denti-Technology Co., Ltd.
This site uses cookies. Visit our cookies policy page or click the link in any footer for more information and to change your preferences.
Accept all cookies
Accept only essential cookies
X