Shanghai Smartee Denti-Technology Co., Ltd.
Shanghai Smartee Denti-Technology Co., Ltd.

Overbite profonde et Overjet

Femme, 25 ans. Plainte principale: dents saillantes et mal alignées, nécessitant un traitement orthodontique.

Ajustez les relations molaires gauche et droite par la distalisation simultanée des molaires supérieures et inférieures. Aligner la dentition en rétractant les dents antérieures. Avancez la mandibule pour améliorer le profil et le sourire gommeux.


Stade et durée du traitement orthodontique

  • Stade de traitement: 63 étapes

  • Durée: 31 mois

Avant le traitement

Photos faciales avant le traitement
teeth invisible aligners 1
teeth invisible aligners 2
teeth invisible aligners 3
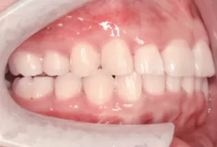
Photos intra-orales
Photos intra-orales
Photos intra-orales
Photos intra-orales
Photos intra-orales
Photos intra-orales
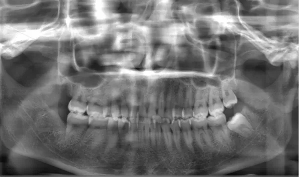
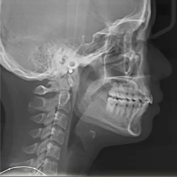
Rayons X avant le traitement

[Radiographie panoramique/Céphalogramme latéral]

Rayons X avant le traitement
Rayons X avant le traitement

Dans le traitement

Photos intra-orales
Photos intra-orales
Photos intra-orales
Photos intra-orales
Photos intra-orales
Photos intra-orales

Après traitement

Photos faciales avant le traitement
Photos faciales avant le traitement
Photos faciales avant le traitement
Photos faciales avant le traitement
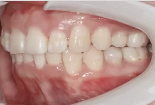
Photos intra-orales après traitement
Photos intra-orales après traitement
Photos intra-orales après traitement
Photos intra-orales après traitement
Photos intra-orales après traitement
Photos intra-orales après traitement
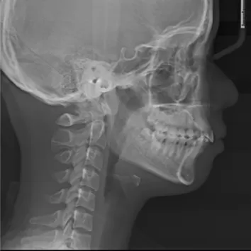
Rayons X avant le traitement

[Radiographie panoramique/Céphalogramme latéral]

Rayons X avant le traitement
Rayons X avant le traitement

Vous recherchez des sociétés d'aligneurs dentaires?

Voici ce qu'il faut évaluer(Soutenu par les 20 années d'expertise de Smartee)


Lors du choix parmiSociétés d'aligneurs dentaires, Smartee-un pionnier avec 20 ans de recherche et d'innovation dédiées-recommande de se concentrer sur ces trois facteurs critiques sur la base de 74.5 alignements M fournis et de collaborations avec 83,000 médecins orthodontiques du monde entier:


Technologie avancée et solutions brevetées


Les 900 brevets de Smartee, y compris la technologie de repositionnement mandibulaire, garantissent des résultats cliniquement efficaces avec des séries spécialisées telles que le Smartee GS et S1-S20 solutions.

Contrairement aux aligneurs génériques, le flux de travail numérique de Smartee garantit la précision de la soumission de cas à la planification de traitement.


Confiance et évolutivité mondiales éprouvées


Disponible dans 52 pays, Smartee combine une fabrication entièrement automatisée avec un contrôle de qualité basé sur l'IA, minimisant l'erreur humaine tout en maximisant la cohérence.


Soutien clinique complet


La Smartee International Academy offre une formation continue, donnant aux professionnels des techniques fondées sur des preuves pour réussir les traitements des aligneurs invisibles.


Shanghai Smartee Denti-Technology Co., Ltd.
This site uses cookies. Visit our cookies policy page or click the link in any footer for more information and to change your preferences.
Accept all cookies
Accept only essential cookies
X