Shanghai Smartee Denti-Technology Co., Ltd.
Shanghai Smartee Denti-Technology Co., Ltd.

Overbite profonde avec rétroclinaison des dents antérieures

Femme, 17 ans.

Plainte en chef: dents mal alignées.

Objectifs de traitement:

  • Alignez les dents.

  • Éliminer l'encombrement et la rotation.

  • Ajustez la surmorsure profonde.

  • Améliorer la rétrusion mandibulaire.

Appareil utilisé: jour Smartee α etAligneur de nuit.


Étapes et durée du traitement orthodontique:

  • Étapes: 40 17 ensembles

  • Cycle: 25 mois

Avant le traitement

Photos faciales avant le traitement
Photos faciales avant le traitement
Photos faciales avant le traitement
Photos faciales avant le traitement
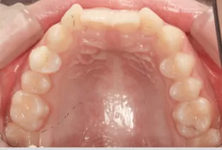
Photos intra-orales
Photos intra-orales
Photos intra-orales
Photos intra-orales
Photos intra-orales
Photos intra-orales
Rayons X avant le traitement

[Radiographie panoramique/Céphalogramme latéral]

Rayons X avant le traitement
Rayons X avant le traitement

Dans le traitement

Photos intra-orales
Photos intra-orales
Photos intra-orales
Photos intra-orales
Photos intra-orales
Photos intra-orales

Après traitement

Photos faciales avant le traitement
Photos faciales avant le traitement
Photos faciales avant le traitement
Photos faciales avant le traitement
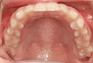
Photos intra-orales après traitement
Photos intra-orales après traitement
Photos intra-orales après traitement
Photos intra-orales après traitement
Photos intra-orales après traitement
Photos intra-orales après traitement
Rayons X avant le traitement

[Radiographie panoramique/Céphalogramme latéral]

Rayons X avant le traitement
Rayons X avant le traitement
Shanghai Smartee Denti-Technology Co., Ltd.
This site uses cookies. Visit our cookies policy page or click the link in any footer for more information and to change your preferences.
Accept all cookies
Accept only essential cookies
X