Shanghai Smartee Denti-Technology Co., Ltd.
Shanghai Smartee Denti-Technology Co., Ltd.

Profond Overjet Distalisation Maxillaire Avancement mandibulaire

Femme, 14 ans. Plainte principale: dents saillantes, menton court.

La 1/3 inférieure de son visage est courte. Un 11mm de surjet et un espace entre le maxillaire et la mandibule sont observés.

Smartee invisible traitement orthodontique avecDispositif de repositionnement de la mâchoireA été adopté pour distaliser les molaires maxillaires et faire progresser la mandibule en se combinant avec la plaque de morsure, améliorant la surmorsure et le surjet.


Étapes et durée du traitement orthodontique:

  • Étapes: 41 ensembles

  • Cycle: 18 mois

Avant le traitement

Photos faciales avant le traitement
Photos faciales avant le traitement
Photos faciales avant le traitement
Photos faciales avant le traitement
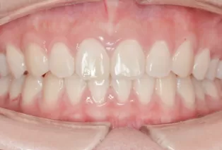
Photos intra-orales
teeth straightening aligners 4
teeth straightening aligners 5
teeth straightening aligners 6
teeth straightening aligners 7
teeth straightening aligners 8
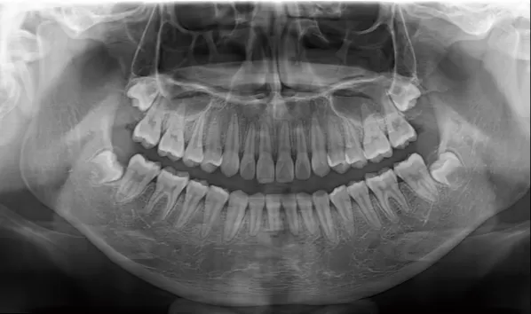
Rayons X avant le traitement

[Radiographie panoramique/Céphalogramme latéral]

Rayons X avant le traitement
Rayons X avant le traitement

Dans le traitement

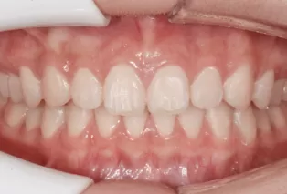
Photos intra-orales
Photos intra-orales
Photos intra-orales
Photos intra-orales
Photos intra-orales
Photos intra-orales

Après traitement

Photos faciales avant le traitement
Photos faciales avant le traitement
Photos faciales avant le traitement
Photos faciales avant le traitement
Photos intra-orales après traitement
Photos intra-orales après traitement
Photos intra-orales après traitement
Photos intra-orales après traitement
Photos intra-orales après traitement
Photos intra-orales après traitement
Rayons X avant le traitement

[Radiographie panoramique/Céphalogramme latéral]

Rayons X avant le traitement
Rayons X avant le traitement
Shanghai Smartee Denti-Technology Co., Ltd.
This site uses cookies. Visit our cookies policy page or click the link in any footer for more information and to change your preferences.
Accept all cookies
Accept only essential cookies
X