Shanghai Smartee Denti-Technology Co., Ltd.
Shanghai Smartee Denti-Technology Co., Ltd.

Extraction prépolaire croisées des dents individuelles

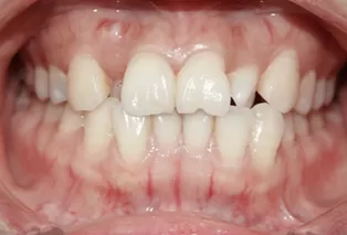
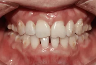
Femelle, âgée de 29 ans. Plainte principale: désalignement des dents, nécessitant une correction.

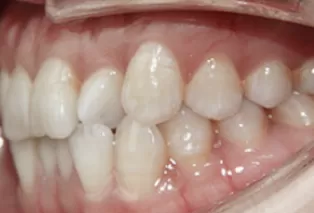
Encombrement et désalignement des dents maxillaires et mandibulaires, morsure croisée des dents 12 et 22 et désalignement de la ligne médiane.

SmarteeTraitement d'alignement clairÉtait employé. Quatre premières prémolaires maxillaires et mandibulaires ont été extraites, et une rétraction a été effectuée pour aligner les dents supérieures et inférieures, soulager la surmorsure et le surjet de la zone des dents antérieures et aligner les dents supérieures et inférieures.

Ligne médiane.


Étapes et cycle de traitement orthodontique

  • Étapes: 36 20 8 ensembles

  • Cycle: 27 mois

Avant le traitement

Photos faciales avant le traitement
Photos faciales avant le traitement
Photos faciales avant le traitement
Photos faciales avant le traitement
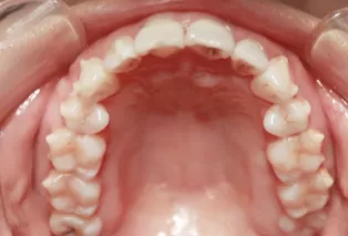
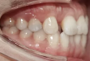
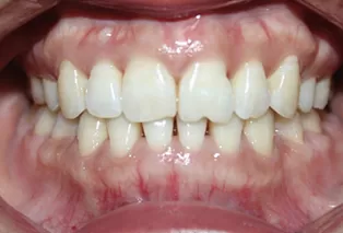
Photos intra-orales
Photos intra-orales
Photos intra-orales
Photos intra-orales
Photos intra-orales
Photos intra-orales
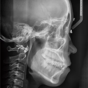
Rayons X avant le traitement

[Radiographie panoramique/Céphalogramme latéral]

Rayons X avant le traitement
Rayons X avant le traitement

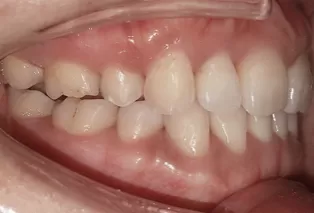
Dans le traitement

Photos intra-orales
Photos intra-orales
Photos intra-orales
Photos intra-orales
Photos intra-orales
Photos intra-orales

Après traitement

Photos faciales avant le traitement
Photos faciales avant le traitement
Photos faciales avant le traitement
Photos faciales avant le traitement
Photos intra-orales après traitement
Photos intra-orales après traitement
Photos intra-orales après traitement
Photos intra-orales après traitement
Photos intra-orales après traitement
Photos intra-orales après traitement
Rayons X avant le traitement

[Radiographie panoramique/Céphalogramme latéral]

Rayons X avant le traitement
Rayons X avant le traitement
Shanghai Smartee Denti-Technology Co., Ltd.
This site uses cookies. Visit our cookies policy page or click the link in any footer for more information and to change your preferences.
Accept all cookies
Accept only essential cookies
X